Как изменение прикуса может повлиять на внешний вид: рассматриваем на примере звезд!

Что стоит за голливудской улыбкой Марго Робби, откуда у Бритни Спирс взялись щели между зубами, почему Джонни Депп не следит за гигиеной полости рта, рассказал Владимир Маркевич — стоматолог-ортопед, главный врач и основатель стоматологического центра «Dentis».

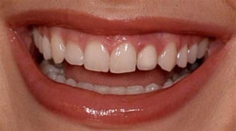
Legion-Media Марго Робби

Красивые и здоровые зубы являются одним из ключевых факторов привлекательности лица человека. Если зубы имеют желтый цвет, неровные края, сколы, другие дефекты или отсутствуют вовсе, это может испортить первое впечатление о внешности.

Правильное положение зубов, белизна эмали и отсутствие изъянов помогают сформировать гармонию лица, поэтому часто на примере известных людей мы видим, как происходит преображение внешности, когда человек попадает в руки профессионалов. 

Владимир Маркевич — стоматолог-ортопед, главный врач и основатель стоматологического центра «Dentis» Владимир Маркевич — стоматолог-ортопед, главный врач и основатель стоматологического центра «Dentis»

Вот несколько примеров. 

  • Морган Фримен

За свою кинокарьеру Морган Фримен был номинирован пять раз на премию «Оскар» и «Золотой глобус». Свой «Оскар» он получил в 2004 году за лучшую мужскую роль в фильме «Малышка на миллион». В общей сложности Фримен был номинирован на всевозможные премии 79 раз и победил 61 раз. Но почему он не торопился обращаться за помощью к стоматологу?

На ранних фото мы видим неровное положение зубов, щели между передними зубами верхней челюсти и скученное положение нижних зубов. Десна у зубов (зениты) на разных уровнях и видны признаки пародонтита (восполнение зубодесневой борозды). Цвет зубов так же оставляет желать лучшего, я называю это «эффект пианино»: через зуб разная яркость, старые коронки и реставрации.

Морган Фримен Legion-Media Морган Фримен

Прошло много лет с тех пор, как Фримен наконец-то решился на стоматологическое преображение. Что мешало обратиться к стоматологам раньше — непонятно, но результат, как говорится, налицо. На свежих фото мы видим существенные изменения — скорее всего, ему установили керамические коронки на его старые зубы или это коронки на имплантатах. 

Морган Фримен Legion-Media Морган Фримен
  • Бен Аффлек

Американский актер, сценарист и любитель женщин с именем Дженнифер — Бен Аффлек уже давно вписал свое имя в список голливудских звезд первой величины. Он неоднократно входил в список 100 самых красивых мужчин мира, но только лишь это его собственная заслуга? 

Если мы обратимся к ранним фотографиям Бена, сразу бросается в глаза его улыбка. Щели между зубами (диастема и тремы), сильно заметная десна при улыбке, а сами зубы как будто мельче, чем нужно.

Бен Аффлек Бен Аффлек

Неудивительно, что Аффлек решился на исправление ситуации керамическими винирами и коронками. Однако около 10 лет назад Аффлек стал предметом насмешек в родной Калифорнии. Артист был застигнут папарацци, которые сфотографировали его золотые коронки. Для многих «золотая» улыбка Бена так и осталась загадкой, были ли это часть актерской роли или стоматологический эксперимент с образом.

В любом случае, на более поздних фото мы видим классическую голливудскую улыбку актера, намеренного получать все главные роли. 

Бен Аффлек Legion-Media Бен Аффлек
  • Джонни Депп

Одним из главных событий 76-го Каннского международного кинофестиваля стал выход Джонни Деппа, представляющего фильм «Жанна Дюбарри». Актер появился на публике впервые после скандального судебного процесса с экс-супругой Эмбер Хёрд. После нескольких лет «отмены» Депп еле сдерживал слезы во время семиминутных оваций в зале. Мы все рады его возвращению, но вы обратили внимание на состояние его зубов? Зубной налет, пигментация, очаги стираемости, несколько металлических коронок на нижней челюсти справа. 

Если посмотреть фотографии Деппа разных лет, то видно, как он эпатировал публику металлическими коронками на передних зубах обеих челюстей, которые он впоследствии снял. Но гениальная роль Джека Воробья сыграна давно, а вот гигиена полости рта осталась та же, «пиратская».

На сегодняшний день актеру не хватает качественной профессиональной чистки и лечения некоторых зубов как минимум. А как максимум — тотального протезирования винирами и безметалловыми коронками, так как присутствует стираемость и разный цвет зубов. Но если «Джек» скоро вернется на экраны, то с этим можно повременить. 

  • Марго Робби

Марго Робби — один из лучших примеров тренда на естественность. Незначительные, еле заметные виниры на передние четыре резца очень классно вписались в ее улыбку и добавляют привлекательности, сохраняя при этом ее индивидуальность — вот что демонстрирует поклонникам актриса. Остальные зубы Марго от природы красивой формы и достаточно ровные. На некоторых фотографиях выделяются более желтые клыки Робби. На мой взгляд, для большей гармонии можно было бы дополнительно отбелить их. 

Марго Робби Legion-Media Марго Робби
  • Карди Би

Исполнительница хитов «Bodak Yellow» и «Bartier Cardi» Карди Би — обладательница 7 статуэток премии Billboard Music Awards, 9 статуэток церемонии BET Hip Hop Awards, и это рекорд среди хип-хоп исполнительниц, который попал в книгу Гиннесса. Но что я могу сказать о ее зубах? Виниры! Не исключено, что путь к совершенству улыбки Карди Би начала с исправления положения нижних зубов: изначально они располагались скученно, не по дуге. Тут в ход могли быть пущены брекеты или элайнеры.

Но даже когда нижние зубы были исправлены, вопрос об улыбке оставался открытым. Обратите внимание на ранних фото, насколько несимметричны ее верхние зубы: правый центральный резец как будто длиннее левого, клыки на разных уровнях, разная форма режущих краев. Неудивительно, что по мере карьерного успеха и неоднократного обращения к пластическим хирургам, Карди Би все-таки сделала себе керамические реставрации. 

  • Дуа Липа

Карьера британской певицы с албанскими корнями Дуа Липа началась в 2015 году. За эти восемь лет она стала одной из самых популярных артисток поп-индустрии, и даже спела с Элтоном Джоном «Cold heart». За эти годы внешность певицы постепенно менялась, но она сохранила свою индивидуальность. Сравнивая ее ранние и нынешние фотографии, можно отметить отличную работу врача-ортодонта. Могу предположить, что выравнивание прикуса происходило на элайнерах, так как мы ни разу не видели ее с брекетами. 

Дуа Липа Legion-Media Дуа Липа

Однако в 2018 году Дуа Липа была вынуждена отменить свои выступления в рамках мирового тура «24K Magic» Бруно Марса из-за сильной зубной боли. Как сообщила британская певица в твиттере, у нее не на шутку разболелся зуб мудрости справа, и врач настоял на немедленном удалении. После операции артистке пришлось взять паузу и больничный. 

  • Майли Сайрус

Майли Сайрус — одна из самых ярких звезд Голливуда. Она прошла путь от застенчивой милой девочки, полюбившейся зрителям по сериалу о Ханне Монтане, до экстравагантной и скандальной исполнительницы хитов. Ее улыбка прошла не менее долгий и сложный путь. На ранних фотография юной Майли видны признаки неправильного прикуса и неполного прорезывания некоторых зубов (когда зубы как бы наполовину или на треть еще в десне). На более зрелых фотографиях эти моменты скорректированы.

Майли Сайрус Legion-Media Майли Сайрус

Скорее всего, за преображение звездной улыбки Майли мы должны благодарить известного американского стоматолога Кевина Сэндса, ведущего прием в Беверли-Хиллз.

Предположительно у Майлы установлены керамические или композитные виниры.  

  • Бритни Спирс

Бритни Спирс была американским идолом. Девочка из простой семьи стала суперстар, заработала миллионы, ее песни до сих пор вся планета.

Сейчас ей 40, она не выступает, и мы можем наблюдать за ней лишь по ее постам в социальных сетях. Среди прочих вопросов, которые задают ее поклонники, — откуда взялись эти щели между зубов? И действительно, куда поехали ее зубы?

Бритни Спирс Legion-Media Бритни Спирс

Улыбка Бритни всегда была одной из самых ярких и узнаваемых на музыкальном олимпе. К тому же, судя по фото, она, как и многие звезды, обращалась к звездному стоматологу Кевину Сэндсу…

Видно, что у нее стоят керамические виниры или коронки, но ситуация ухудшилась и требует реставрации. Надеемся и ждем, что она скорректирует здоровье своих зубов и не только.

  • Кайли Дженнер

Кайли Дженнер — представительница звездной семьи Кардашьян-Дженнер, самая младшая из сестер. Она одна из самых высокооплачиваемых моделей в мире. Кайли всего 26 год, но в своем стремлении стать современной иконой стиля она уже неоднократно прибегала к помощи пластических хирургов, косметологов и, конечно, стоматологов. Чтобы это понять, стоит лишь взглянуть на ее ранние и современные фото.

Кайли Дженнер Кайли Дженнер
Кайли Дженнер Кайли Дженнер

Еще каких-то 10 лет назад Кайли улыбалась нам «своими» зубами. На фотографиях можно увидеть сильное доминирование центральных резцов: они длинные, за счет чего есть ступенька при переходе от центральных к боковым резцам. 

  • Илон Маск

Предприниматель, инженер, основатель компании SpaceX, генеральный директор компании Tesla Илон Маск обвиняется в… гингивите. Только посмотрите, как выглядит десна на верхней челюсти на его свежих фотографиях: она ярко-красного цвета, отечная. У Илона от природы отличные зубы, это можно заметить на его детских фотографиях. Но на более поздних снимках можно предположить, что у него на передних зубах установлены красивые керамические виниры или коронки. Несмотря на это, нельзя забывать о простых правилах гигиены и здоровья десны. 

Можно смело сказать, что красивые зубы являются важным элементом общего впечатления о внешности. Красивая улыбка может помочь создать положительное впечатление о человеке и повысить его самооценку. Поэтому очень важно следить за состоянием своих зубов и десен и регулярно посещать врача-стоматолога для профилактического осмотра и лечения.